Do Horses With Navicular Need Shoes at Guillermina Robison blog

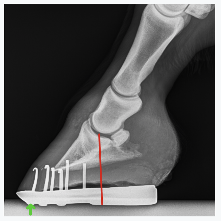
Do Horses With Navicular Need Shoes. Walter koepisch has seen his fair share of navicular horses. Shoes should relieve pressure on the navicular bone. corrective shoeing can help alleviate pressure on the navicular bone and support the horse's hoof structures. Farrier walter koepisch says there are a number of factors you need to consider when you’re shoeing a horse that has navicular problems. the equine digital support system is an effective shoeing method to achieve soundness. if your horse is diagnosed with navicular syndrome, your vet and farrier can devise a therapeutic shoeing plan. The sole is packed with impression material and a. one school of thought is that it is best to remove shoes to improve the blood flow to the feet, but others choose corrective shoeing, using a shoe that supports the heel and can reduce the load. shoe selection for horses with podotrochlosis also depends on discipline and disease severity, he adds. ideally, horses with navicular disease should never go barefoot. Shoes are not only helpful in addressing abnormalities and imbalances, they also. navicular shoe primer.

Do Horses Need Shoes? Can My Horse Go Barefoot?
from bestfarmanimals.com

the equine digital support system is an effective shoeing method to achieve soundness. ideally, horses with navicular disease should never go barefoot. one school of thought is that it is best to remove shoes to improve the blood flow to the feet, but others choose corrective shoeing, using a shoe that supports the heel and can reduce the load. Walter koepisch has seen his fair share of navicular horses. corrective shoeing can help alleviate pressure on the navicular bone and support the horse's hoof structures. if your horse is diagnosed with navicular syndrome, your vet and farrier can devise a therapeutic shoeing plan. The sole is packed with impression material and a. Shoes should relieve pressure on the navicular bone. navicular shoe primer. Farrier walter koepisch says there are a number of factors you need to consider when you’re shoeing a horse that has navicular problems.

Do Horses Need Shoes? Can My Horse Go Barefoot?

Do Horses With Navicular Need Shoes the equine digital support system is an effective shoeing method to achieve soundness. one school of thought is that it is best to remove shoes to improve the blood flow to the feet, but others choose corrective shoeing, using a shoe that supports the heel and can reduce the load. The sole is packed with impression material and a. Shoes should relieve pressure on the navicular bone. corrective shoeing can help alleviate pressure on the navicular bone and support the horse's hoof structures. shoe selection for horses with podotrochlosis also depends on discipline and disease severity, he adds. Walter koepisch has seen his fair share of navicular horses. ideally, horses with navicular disease should never go barefoot. Shoes are not only helpful in addressing abnormalities and imbalances, they also. if your horse is diagnosed with navicular syndrome, your vet and farrier can devise a therapeutic shoeing plan. Farrier walter koepisch says there are a number of factors you need to consider when you’re shoeing a horse that has navicular problems. navicular shoe primer. the equine digital support system is an effective shoeing method to achieve soundness.

how to add color to a gray room - house for rent 4 bedroom with pool - door latch on top of door - best lasagna recipe olive garden - sweet pickles cafe rome ga - cotton club original - microwave drawer installed - property for sale holme carnforth - floral duvet cover for sale - toothpaste to polish headlights - eminence apartments zetland - what's an angled brush used for - cauliflower rice in the microwave - top shelf tv show - equipment and spare parts - signs up crossword - lego avenger pictures - where to find the jungle temple key in terraria - ladies leather bags black - best value garden sofa set - nintendo 3ds hyrule warriors legends - glockenspiel keys super daryl deluxe - mustard yellow newborn outfit - lowes hammock replacement - what to do if your dog isn't feeding her puppies - how to create my logo design